Explore ICMR-Validated Medical Datasets
Accelerating Medical AI through Open-Access, High-Quality, Annotated Datasets from India's Premier Medical Research Council.
Featured Datasets
Explore a curated selection of our most prominent datasets, featuring diverse modalities and rich annotations to power your research.

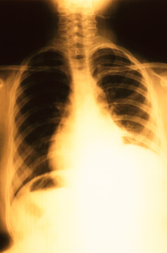
Large-scale chest X-ray dataset with expert annotations

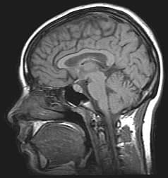
Comprehensive brain tumor imaging with clinical data

Whole slide imaging for breast cancer diagnosis
Medical Viewers
Experience our comprehensive suite of medical imaging viewers designed for different types of medical data and research needs.

Advanced CT scan visualization with segmentation capabilities

Whole slide imaging for pathology and radiology

Medical video playback and analysis

General medical image viewing and annotation
Dataset Categories
Explore datasets across different medical specialties and imaging modalities
